Palatine Complete Dental
A Great Dentist

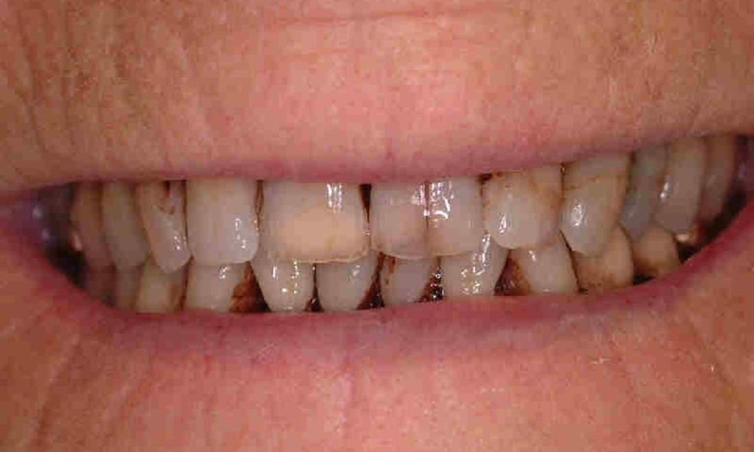
Ceramic Crowns to Protect Teeth

Our Palatine dental team used anterior all-ceramic crowns to protect this patient's cracked teeth and large fillings.

Related Services:

Cosmetic Dentistry
Ready to Book an Appointment?
If you have difficulty using our website, please email us or call us at (847) 359-7520
View the ADA Accessibility Statement