Palatine Complete Dental
A Great Dentist

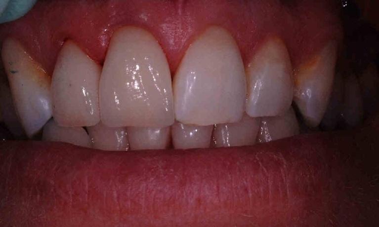
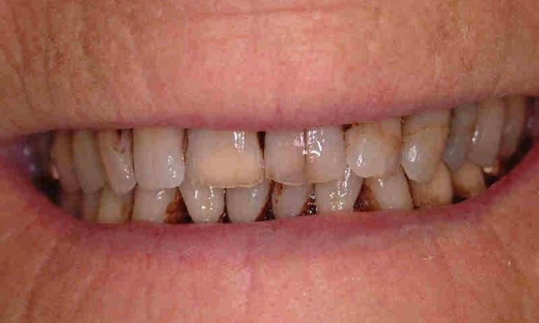
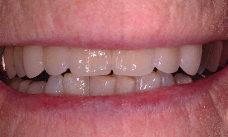
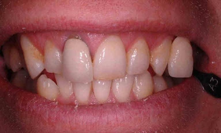
Smile Gallery

Most of us have a vision of how we would like our perfect smile to look, but if you're not sure how to get there, take a look at our before and after pictures to see what we've accomplished for our patients.

Ready to Book an Appointment?
Smile Gallery Categories
If you have difficulty using our website, please email us or call us at (847) 359-7520
View the ADA Accessibility Statement
Privacy Policy